- 2025年10月4日
- 2025年10月28日
ガムピーリングとは?【ガムピーリングの特徴・メリット・デメリットについて】

練馬区中村橋・富士見台の歯医者・歯科「レアリゼ歯科クリニック」です!
ブログをご覧いただきありがとうございます!
今回は【ガムピーリング】についてご紹介いたします。
歯茎が黒くなっていること気になったことありませんか?
もしかすると解消できるかもしれません!!
【ガムピーリングとは?】
ガムピーリングとは、歯茎の黒ずみを改善し、健康的なピンク色の歯茎を取り戻すための審美歯科治療です。メラニン色素の沈着によって黒ずんだ歯茎に、専用の薬剤やレーザーを使用して、黒ずみを除去します。
【ガムピーリングの目的】
歯茎の黒ずみを解消し、健康的なピンク色の歯茎を取り戻すことです。歯茎の色が明るくなることで全体的に明るい印象を取り戻します。
【ガムピーリングの方法】
①薬剤による方法
フェノールなどの薬剤を塗布し、黒ずんだ歯茎の表層を剥離して、新しい歯茎を再生させる方法です。しかしながら銀歯などで起こるメタルタトゥーはこの方法では消えません。
②レーザーを用いた方法
レーザーを照射して、メラニン色素を破壊し、歯茎の黒ずみを改善する方法です。レーザーの種類によってはメタルタトゥーを消すことも可能です。
【ガムピーリングの効果】
・歯茎の黒ずみが解消され、より健康的で明るい印象になります。
・口元の印象が改善され、笑顔に自信が持てるようになります。
【ガムピーリングの注意点】
・施術後、数日間は刺激物を避け、患部を安静にする必要があります。
・施術後、歯茎が白っぽくなる場合がありますが、1~2週間程度で健康な色に戻ります。
・施術を受ける前に、歯科医師に相談し、適切な治療法を選択することが大切です。
【ガムピーリングが適している症例】
・喫煙や紫外線、刺激物などによって歯茎にメラニン色素が沈着し、黒ずんでいる場合.
・歯周病や金属の詰め物など、他の原因で歯茎が黒ずんでいる場合は、根本的な治療が必要.
【ガムピーリングのメリット】
短時間で施術が完了する、痛みが少ない、 効果が比較的早く現れるという特徴があります。また、効果などでもお話ししたように全体的に明るくきれいな笑顔が取り戻せることが最大のメリットです。
【ガムピーリングのデメリット】
・施術後、数日間は刺激物を避け、患部を安静にする必要があります。
・個人差はありますが、施術後、歯茎が白っぽくなる場合があります。
・生活習慣によっては再発の可能性があります。
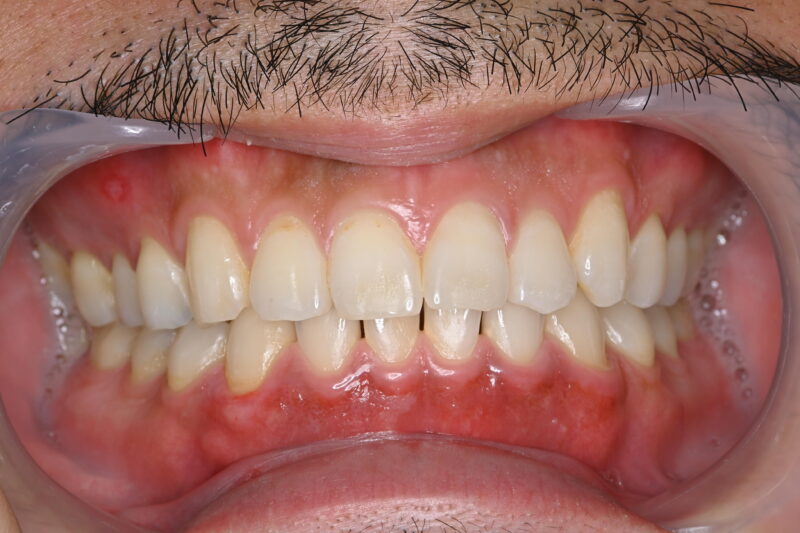
【ガムピーリングの症例】
・30代の男性で歯茎の色を綺麗にしたいとのことで来院された患者様です。
・費用:下顎のみ5,500円(1回)
術前

術直後~1週間後

術後1週間

【最後に】
ガムピーリングは、歯のホワイトニングと併用することで、より効果的に口元の印象を改善できると考えられています。また、美容目的だけでなく、歯茎の健康維持のためにも有効な治療法 と考えられていますのでオススメです。
ホワイトニングに関しての記事はこちら!
お口の中で気になることがございましたら、お気軽に練馬区中村橋・富士見台の歯医者・歯科「レアリゼ歯科クリニック」にご相談ください!!
⇓当院のホワイトニングに関しましてはこちら⇓
https://realiser-shika.com/whitening.html
練馬区中村橋・富士見台の歯医者・歯科
レアリゼ歯科クリニック
