- 2026年1月24日
- 2026年2月18日
【症例紹介(ダイレクトボンディング・前歯部・すきっ歯)】
当院の受診を考えられている患者様やすでに当院で治療をされている患者様へ、実際にどのような期間・費用・過程で治療が完了しているのか知っていいただくために症例を紹介していきます。
症例をご覧になりたい患者様はカテゴリーの症例欄より是非ご覧ください!!
また、Instagramのほうでも症例や歯科の豆知識を紹介していますので、あわせて是非ご覧ください!
https://www.instagram.com/realiser.dental
【主訴ならびに情報】
前歯の隙間が気になる
【治療内容】
右上1番、左上1番 ダイレクトボンディング
【治療期間】
1回(初診時を除く)
【費用】
ダイレクトボンディング¥55,000円×2 計¥110,000円
【副作用・リスク】
破折・経年劣化など
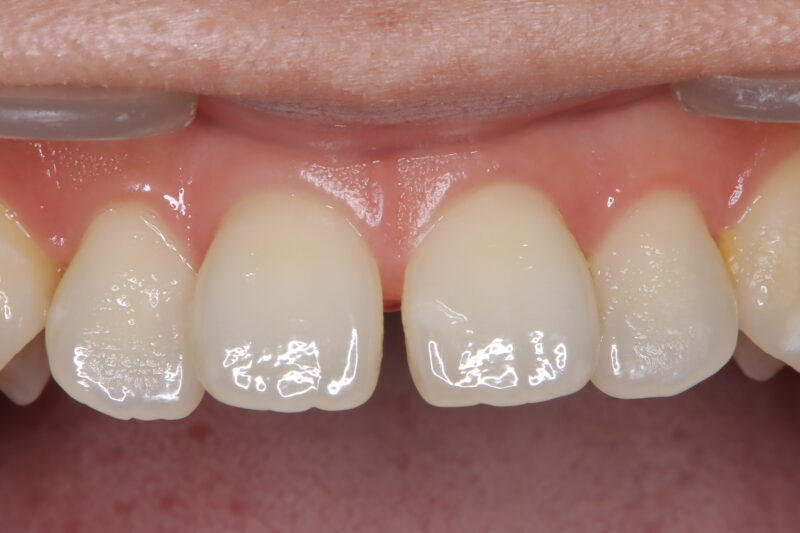
【術前口腔内写真】

前歯に隙間があることが分かります。
【術後口腔内写真】

前歯部の隙間をダイレクトボンディング法にて1回で修正し、自然な形が再現されています。
【この症例について】
この症例は、前歯の正中離開という症例です。治療方法には、ダイレクトボンディング法か矯正治療があります。しかしながら、矯正治療の場合は治療が全顎にわたり、期間と費用もかなりかかることが多いです。この症例では結婚式が近く、矯正治療を選べないというバックグラウンドがあり、ダイレクトボンディング法を選択しました。(矯正治療が出来る場合は歯を一切削る必要がなく、低侵襲な治療になりますので、選択する方も多いのが現状です。当院でも、おすすめする治療法になります。)
前歯のすきっ歯やダイレクトボンディング法を用いた治療なら練馬区中村橋・富士見台の歯医者・歯科「レアリゼ歯科クリニック」にお任せください!!
⇓ダイレクトボンディング法に関してはこちら⇓
https://realiser-shika.com/aesthetic.html
https://realiser-shika.doctorsfile.jp
練馬区中村橋・富士見台の歯医者・歯科
レアリゼ歯科クリニック
