• 2025年11月1日
  • 2025年9月27日

【症例紹介(精密根管治療・歯内歯)】

2025年11月1日で当院は開院2周年を迎えました!!

当院の受診を考えられている患者様やすでに当院で治療をされている患者様へ、実際にどのような期間・費用・過程で治療が完了しているのか知っていいただくために症例を紹介していきます。

症例をご覧になりたい患者様はカテゴリーの症例欄より是非ご覧ください!!

また、Instagramのほうでも症例や歯科の豆知識を紹介していますので、あわせて是非ご覧ください!

https://www.instagram.com/realiser.dental

【主訴ならびに情報】

20代女性の方で、前の歯茎が腫れたとの主訴でご来院されました。

【治療内容】

右上側切歯 精密根管治療+ダイレクトボンディング

【治療期間】

3か月+経過観察3か月

【費用】

精密根管治療¥110,000円+ダイレクトボンディング¥33,000円 計¥143.000円

【副作用・リスク】

根管治療を行った歯は再発や歯根破折を起こす場合があります。

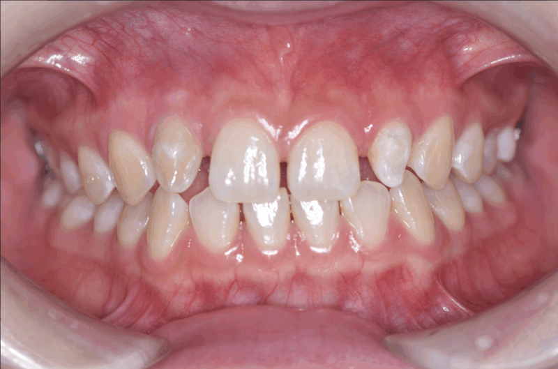
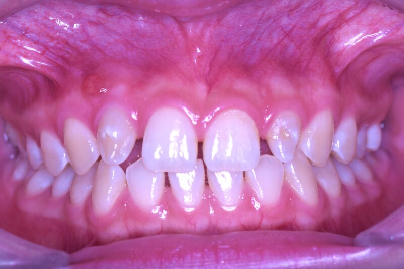
【初診時口腔内写真】

画像の左上の歯茎に腫脹と発赤が認められます。

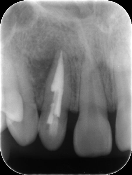
【術前レントゲン】

側方に骨欠損が認められます。(根の先の黒い部分)

歯内歯という珍しい形態を示しています。

CTでも同様に骨欠損が認められ、歯内歯形態を示しています。

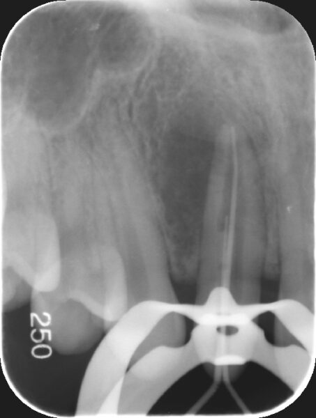
【術中マイクロ写真ならびに術中レントゲン写真】

根管内を拡大視野で確認し、出来る限り歯の切削量を減らすように治療をしています。

根の外側と内側から根管口という入り口があり、2本入っているのが分かります。また、この2本の根管は合流しており複雑な形態を示していることが分かります。

【術直後のレントゲンと口腔内写真】

2本の根管に緊密に根管充填材(MTA)が充填出来ていることが確認できました。

初診時に認められていた左上の腫脹と発赤は改善し、認められなくなりました。

【経過観察時(術後3か月後)レントゲン】

術後3か月後のレントゲンでは黒くなっていた部分が回復してきており、骨が再生してきていることが認められました。

【この症例について】

この症例は歯内歯という珍しい形であり、歯内歯はう蝕の罹患率が高く、萌出直後の予防処置が必要とされる場合が多いです。歯髄疾患などから根尖性歯周炎に進んだ場合、根管治療が困難で抜歯に至る症例も多いです。早期発見・早期治療が重要な症例です。マイクロスコープやラバーダムが必須な他、CTでの分類の判別なども予後に大きな差をもたらします。また、再発したや歯根破折を起こした場合は高頻度で抜歯に至る可能性があるためMTAを用いた確実な封鎖と歯根の強化も重要です。

レントゲンのみだと歯内歯と診断しづらい場合もあるため、CTでの検査は必須になります。う蝕になっていない歯内歯と診断された場合は嵌入部にコンポジットレジンを用いた予防やMTAを用いた予防を行うことが重要です。

難治性の根管治療やマイクロスコープを用いた治療なら練馬区中村橋・富士見台の歯医者・歯科「レアリゼ歯科クリニック」にお任せください!!

⇓精密根管治療に関してはこちら⇓

https://realiser-shika.com/endodontic.html

練馬区中村橋・富士見台の歯医者・歯科

レアリゼ歯科クリニック

レアリゼ歯科クリニック 03-5848-3185 ホームページ