- 2025年11月15日
- 2026年2月18日
【症例紹介(精密根管治療・根未完成歯)】
当院の受診を考えられている患者様やすでに当院で治療をされている患者様へ、実際にどのような期間・費用・過程で治療が完了しているのか知っていいただくために症例を紹介していきます。
症例をご覧になりたい患者様はカテゴリーの症例欄より是非ご覧ください!!
また、Instagramのほうでも症例や歯科の豆知識を紹介していますので、あわせて是非ご覧ください!
https://www.instagram.com/realiser.dental
【主訴ならびに情報】
10代男性で右上の治療を半年行っているが良くならないため、専門医に診てもらいたく来院。
【治療内容】
右上側切歯 精密根管治療
【治療期間】
2か月+経過観察3か月
【費用】
精密根管治療¥110,000円
【副作用・リスク】
根管治療を行った歯は再発や歯根破折を起こす場合があります。
【術前レントゲン】

根の先端に骨欠損(黒くなっている部分)が認められます。また、根の先端が完全には出来上がっていない根未完成の状態です。
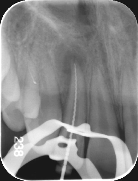
【術中マイクロ写真ならびに術中レントゲン写真】

根の先端を確かめるためのレントゲンです。レントゲン上では実際の根の先端より手前側に根の先端があることが確認されます。
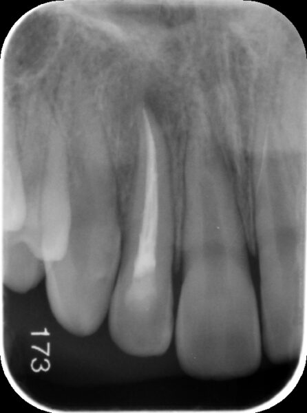
【術直後のレントゲンと口腔内写真】

上記で確認した根の先端まで緊密に根管充填材が到達していることが確認されます。
【経過観察時(術後3か月後)レントゲン】

術後3か月後のレントゲンでは黒くなっていた部分が回復してきており、骨が再生してきていることが認められました。また、根尖(根の先端)に歯が出来上がってきていることが確認されます。
【この症例について】
この症例は若年者のため根が完成していない根未完成歯の根管治療です。基本的に10代初めのころではこのように根が完成していないことが多いのですが、根管治療の不備や治療の遅れで、根が短いまま歯が完成されることもあります。根が短いことで将来的に歯周病などで歯が揺れてきたり、歯が割れやすくなることがあります。今回は根尖部分にだけMTAセメントを用いて歯の再生を促すような治療を行いました。(上部にはガッタパーチャという根管充填材を使用しています。)
難治性の根管治療やマイクロスコープを用いた治療なら練馬区中村橋・富士見台の歯医者・歯科「レアリゼ歯科クリニック」にお任せください!!
⇓精密根管治療に関してはこちら⇓
https://realiser-shika.com/endodontic.html
練馬区中村橋・富士見台の歯医者・歯科
レアリゼ歯科クリニック
